At ABC Dental Care, we're dedicated to providing exceptional dental services in a warm and welcoming environment. Located in the heart of Hosayellapur, Dharwad, our practice at First Venkteshwar Complex, P B Rd, near Laxmi Talkies, is committed to delivering personalized care tailored to your unique needs.
Schedule a consultation with our experts at your convenience. Our streamlined booking system allows you to choose a time that fits your schedule, ensuring a personalized experience. Simply select your preferred date and time, and we’ll handle the rest. Book now to secure your spot!
Experience the difference at ABC Dental Care. Schedule your appointment today and take the first step towards achieving a lifetime of healthy smiles.
At our practice, we believe in transparency and fairness. We offer high-quality dental care at competitive prices, ensuring you receive exceptional treatment without unexpected costs. Trust us to provide top-notch dental services that fit your budget, with no hidden fees or surprises.
I've always been apprehensive about visiting the dentist, but ABC Dental Care changed my perception entirely. Their team is incredibly professional and caring. From the moment I walked in, I felt at ease. I highly recommend their services!
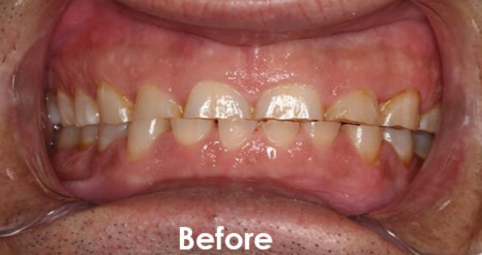
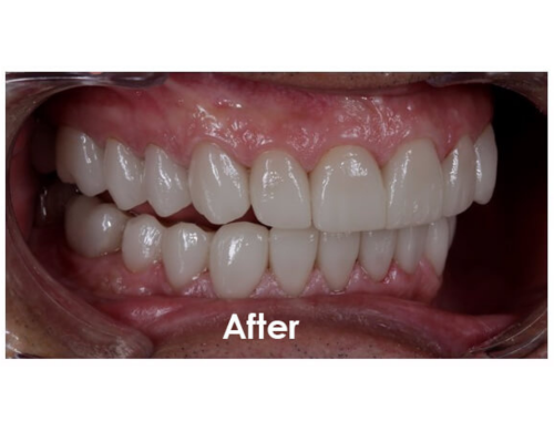
I had been struggling with dental issues for years until I found ABC Dental Care. Their expertise and attention to detail are unmatched. Thanks to them, I finally have the smile I've always dreamed of. I can't thank them enough!
As someone with a busy schedule, finding a dentist who could accommodate my needs was challenging. Thankfully, ABC Dental Care offers flexible appointments and exceptional service. I couldn't be happier with the care I've received.
1st floor Venkateshwar Complex opposite NTTF BRTS bus stop near Nirmal silk PB ROAD
© ABC Dental. All Rights Reserved.
Designed by Sysnest Valley Technologies